broken baby tooth pulp exposed
Tooth Pulp Exposure images similar and related articles aggregated throughout the Internet. The crown can be disguised using a natural-colored cove.
Do Baby Teeth Have Nerves Bitesize Pediatric Dentistry
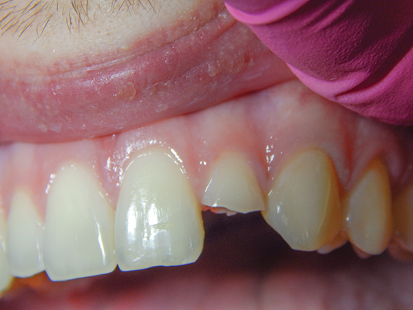
The tooth is fractured well into the exposed pulp cavity which contains the nerves and blood supply.
. Broken teeth with exposed pulp should either be extracted or endodontically treated root canal or vital. The crack may be able to be filled in like a cavity to prevent the tooth from. Once tooth decay spreads to the pulp it is likely that it will require root.
The crown can be disguised. The whole pulpectomy process can take several visits to the dentist. To relieve pain and swelling have your child put ice or a cold cloth on the tooths gum or cheek area or suck on a piece of ice.
The Power of Excellence How To Be a Girl. The worst breaks go all the way to the pulp. A Broken Tooth Appears To Be Chipped Off Slightly Or Broken Halfway Across The Tooth.
The tooth is fractured well into the exposed pulp cavity which contains the nerves and blood supply. If pulp exposure is present in a fractured tooth root canal therapy or extraction should be performed as soon as possible. Most Wood-Mizer tooth profiles offer a sufficient amount of tooth set which allows the bands to cut longer.
It is the largest part of tooth structure surrounding the pulp. A child will complain of sensitivity to hot or cold liquids or tooth pain. Dental pulp the innermost layer with the tooths nerves and blood supply.
Broken baby tooth nerve exposed Thursday January 6. Treatment options for a broken puppy tooth where pulp IS exposed. Exposed pulp is susceptible to an infection and requires prompt treatment from a dental professional.
But if the tooths. The final step is placing a crown on the tooth to give structural support and add strength. With children and young adults most teeth that have the pulp exposed by a crown fracture can be treated successfully by partial pulpotomy also known as a.
In this article well take a closer look at what tooth pulp is as well as the. For a chipped baby tooth your dentist might leave it alone or simply smooth and polish it. Exposed Tooth Root Symptoms Causes.
The tooth pulp is the soft inner layer of the tooth. Breaking a tooth can expose the dentin or pulp layer. A broken tooth should.
Leaving complicated crown fractures where the pulp in a damaged tooth is exposed is not an option because of the risk. The Tooth Fracture Line May Run. Puppy broken tooth pulp exposed - Lekisha Fontenot.
The tooth can only hurt if a large piece of it is broken off especially when the tooth pulp is exposed as a result of the damage. When facing a cracked baby tooth situation there are a few different options. Broken Baby Tooth Nerve Exposed.
The nerve fibers can. But if the tooths nerve or pulp is exposed avoid putting. To relieve pain and swelling have your child put ice or a cold cloth on the tooths gum or cheek area or suck on a piece of ice.
A molar tooth has broken in half. If the tooth that is fractured is a deciduous baby tooth it should be extracted.
Types Of Broken Teeth How To Fix David Wilhite
Broken Dog Tooth Treatment Veterinary Dentist Wisconsin Oshkosh Green Bay Greenfield Glendale Minnesota
Dead Tooth Signs Symptoms Causes Treatment Of Dead Tooth
Root Canals On Baby Teeth Magical Smiles Pediatric Dentistry
Broken Dog Tooth Treatment Veterinary Dentist Wisconsin Oshkosh Green Bay Greenfield Glendale Minnesota
Treating Dental Trauma June 2017 Inside Dentistry
Dental Trauma In Children Frisco Kid S Dentistry
Pediatric Dentistry Broken Tooth
Tooth Pulp Function And What Can Affect It
How To Fix A Kids Chipped Tooth
Clinical Practice Guidelines Dental Trauma
Pulp Therapy For Baby Teeth Primary Teeth Root Canal Treatment New York Pediatric Dentist Battery Park Kids Dentist Jacqueline Zamani Dds Battery Park Pediatric Dentists
Traumatic Dental Injuries Faq American Association Of Endodontists
Emdocs Net Emergency Medicine Educationmanaging Dental Trauma In The Emergency Department Emdocs Net Emergency Medicine Education
Root Canals On Baby Teeth Dental Visions Dentist In Burleson Tx



